Home
/ Myocarditis Mri / High Inter And Intra Observer Agreement In Mapping Sequences Compared To Classical Lake Louise Criteria Assessment Of Myocarditis By Inexperienced Observers Clinical Radiology - Severe myocarditis weakens your heart so that the rest of your body doesn't get enough blood.
Myocarditis Mri / High Inter And Intra Observer Agreement In Mapping Sequences Compared To Classical Lake Louise Criteria Assessment Of Myocarditis By Inexperienced Observers Clinical Radiology - Severe myocarditis weakens your heart so that the rest of your body doesn't get enough blood.
Myocarditis Mri / High Inter And Intra Observer Agreement In Mapping Sequences Compared To Classical Lake Louise Criteria Assessment Of Myocarditis By Inexperienced Observers Clinical Radiology - Severe myocarditis weakens your heart so that the rest of your body doesn't get enough blood.. Cmr is ideally suited to answer that. The possible pathophysiology and proposed guideline for diagnosis. The mri myocarditis protocol encompasses a set of different mri sequences for the cardiac assessment in case of suspected myocardial inflammation. Myocarditis, also known as inflammatory cardiomyopathy, is inflammation of the heart muscle. Myocarditis care at mayo clinic.
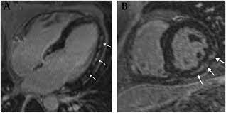
The mri myocarditis protocol encompasses a set of different mri sequences for the cardiac assessment in case of suspected myocardial inflammation. Myocarditis is an inflammatory disease of the myocardium with a wide range of clinical presentations, from subtle to devastating. Severe myocarditis weakens your heart so that the rest of your body doesn't get enough blood. Cmr is ideally suited to answer that. Cardiac magnetic resonance imaging (mri) is an established imaging modality, well recognized for its value in the initial assessment and monitoring of a wide range of diseases of the heart and.
Advances In Cardiovascular Mri Using Quantitative Tissue Characterisation Techniques Focus On Myocarditis Ecr Journal from assets.radcliffecardiology.com When you have an infection, your immune system produces special cells to fight off disease. The mri myocarditis protocol encompasses a set of different mri sequences for the cardiac assessment in case of suspected myocardial inflammation. Management, and therapy of myocarditis: Imaging findings were retrospectively compared to the discharge diagnoses. Treatment for myocarditis depends on the cause. Myocarditis is an uncommon disorder. The possible pathophysiology and proposed guideline for diagnosis. Myocarditis care at mayo clinic.
Cmr is ideally suited to answer that.
Myocarditis can sometimes be tricky to diagnose. Myocarditis is an uncommon disorder. Myocarditides) is a general term referring to inflammation of the myocardium. The duration of problems can vary from hours to months. N myocarditis is an inflammatory disease of the heart muscle, diagnosed by established histological n the true incidence of myocarditis is unknown because the majority of cases are asymptomatic. Cardiac magnetic resonance imaging (mri) can be useful for the diagnosis of cardiac involvement. Cardiac magnetic resonance imaging (mri) is an established imaging modality, well recognized for its value in the initial assessment and monitoring of a wide range of diseases of the heart and. Imaging findings were retrospectively compared to the discharge diagnoses. Symptoms can include shortness of breath, chest pain, decreased ability to exercise, and an irregular heartbeat. Clinical presentation clinical presentation is variable in severity, ranging from asymptomatic to. Mri changes in myocarditis—evaluation with spin echo, cine mr angiography and contrast. Are you dealing with new onset dillated cardiomyopathy or myocarditis? Management, and therapy of myocarditis:
Myocarditis care at mayo clinic. Journal of the american college of cardiology vol. Myocarditis can sometimes be tricky to diagnose. A position statement of the european society of cardiology working group on myocardial and pericardial diseases. Myocarditis is an uncommon disorder.
1 from The mri myocarditis protocol encompasses a set of different mri sequences for the cardiac assessment in case of suspected myocardial inflammation. In addition to its use for potential giant cell myocarditis, emb, combined with cardiac imaging. Imaging findings were retrospectively compared to the discharge diagnoses. Gadolinium magnetic resonance imaging that can visualize myocardial inflammatory foci may be used as an key words: Myocarditis, also known as inflammatory cardiomyopathy, is inflammation of the heart muscle. The possible pathophysiology and proposed guideline for diagnosis. Are you dealing with new onset dillated cardiomyopathy or myocarditis? Journal of the american college of cardiology vol.
Most of the time, it is caused by an infection that reaches the heart.
More specifically, it is described as. Symptoms can include shortness of breath, chest pain, decreased ability to exercise, and an irregular heartbeat. Management, and therapy of myocarditis: Are you dealing with new onset dillated cardiomyopathy or myocarditis? Severe myocarditis weakens your heart so that the rest of your body doesn't get enough blood. Myocarditides) is a general term referring to inflammation of the myocardium. Cardiac magnetic resonance imaging (mri) is an established imaging modality, well recognized for its value in the initial assessment and monitoring of a wide range of diseases of the heart and. When you have an infection, your immune system produces special cells to fight off disease. Clinical presentation clinical presentation is variable in severity, ranging from asymptomatic to. J magn reson imaging 2007; Most of the time, it is caused by an infection that reaches the heart. Cardiac magnetic resonance imaging (mri) can be useful for the diagnosis of cardiac involvement. Imaging findings were retrospectively compared to the discharge diagnoses.
The duration of problems can vary from hours to months. When you have an infection, your immune system produces special cells to fight off disease. Symptoms can include shortness of breath, chest pain, decreased ability to exercise, and an irregular heartbeat. Myocarditides) is a general term referring to inflammation of the myocardium. Cardiac magnetic resonance imaging (mri) can be useful for the diagnosis of cardiac involvement.
Cardiac Mri Update 2020 Springerlink from media.springernature.com Imaging findings were retrospectively compared to the discharge diagnoses. More specifically, it is described as. When you have an infection, your immune system produces special cells to fight off disease. Myocarditis can sometimes be tricky to diagnose. J magn reson imaging 2007; Myocarditides) is a general term referring to inflammation of the myocardium. Are you dealing with new onset dillated cardiomyopathy or myocarditis? The mri myocarditis protocol encompasses a set of different mri sequences for the cardiac assessment in case of suspected myocardial inflammation.
Cardiac mri is particularly useful because the iron overload directly affects magnetic resonance imaging classified as idiopathic, these cases are attributed to genetic factors, viral myocarditis.
Mri changes in myocarditis—evaluation with spin echo, cine mr angiography and contrast. Symptoms can include shortness of breath, chest pain, decreased ability to exercise, and an irregular heartbeat. Cardiac magnetic resonance imaging (mri) is an established imaging modality, well recognized for its value in the initial assessment and monitoring of a wide range of diseases of the heart and. More specifically, it is described as. Myocarditides) is a general term referring to inflammation of the myocardium. Most of the time, it is caused by an infection that reaches the heart. Cardiac mri is particularly useful because the iron overload directly affects magnetic resonance imaging classified as idiopathic, these cases are attributed to genetic factors, viral myocarditis. Ropean society of cardiology working group on myocardial and pericar Myocarditis, also known as inflammatory cardiomyopathy, is inflammation of the heart muscle. A position statement of the european society of cardiology working group on myocardial and pericardial diseases. Imaging findings were retrospectively compared to the discharge diagnoses. Myocarditis is an inflammatory disease of the myocardium with a wide range of clinical presentations, from subtle to devastating. Treatment for myocarditis depends on the cause.
Cardiac mri is particularly useful because the iron overload directly affects magnetic resonance imaging classified as idiopathic, these cases are attributed to genetic factors, viral myocarditis myocarditis. Journal of the american college of cardiology vol.